-- 阅读

云上中核医生”系列病例讨论(第59期)--北京大学第一医院 陈雪祺医师 (病例 11—15 )

2026年01月26日

北京大学第一医院  陈雪祺医师 (病例 11—15 )

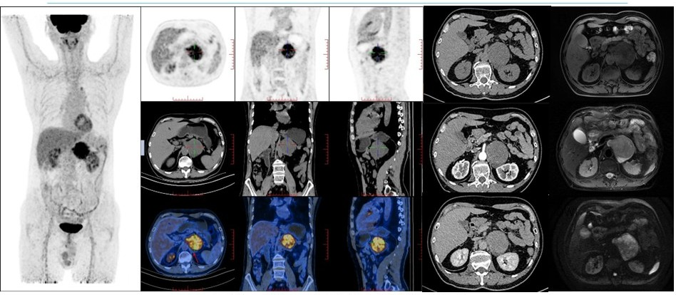
病例(11为一中年女性,体检发现右肾上腺肿物就诊;增强CT检查示右侧肾上腺区肿块,增强扫描呈明显不均匀强化伴多发小血管累及下腔静脉并突入腔内18F-FDG PET/CT示肿物代谢不均匀增高;肾上腺肿物)切除病理为平滑肌肉瘤

病例(12为一老年男性,体检发现左肾上腺肿物就诊,入院后监测血压轻度升高实验室检查示皮质醇水平轻度升高;增强CT检查示左侧腹膜后占位呈轻度强化,占位周围见片状低密度灶,MRIT1WIT2WIDWI高低混杂信号,周围见片状T1WI低信号、T2WI高信号灶;18F-FDG PET/CT示肿物代谢明显增高;(左肾上腺肿物)切除病理为神经纤维瘤。
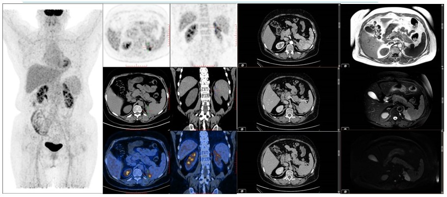
病例(13为一中年女性,间断心悸检查发现左肾上腺结节就诊,既往乳腺癌保乳术后;外院儿茶酚胺及其代谢产物检测提示多项指标升高,我院复查较前下降增强CT检查示左侧肾上腺三枚软组织密度结节伴中等强化;18F-FDG PET/CT68Ga-奥曲肽显像示三枚结节呈SSTR明显高表达、代谢无或轻度增高;(左肾上腺肿物)切除病理为节细胞神经瘤
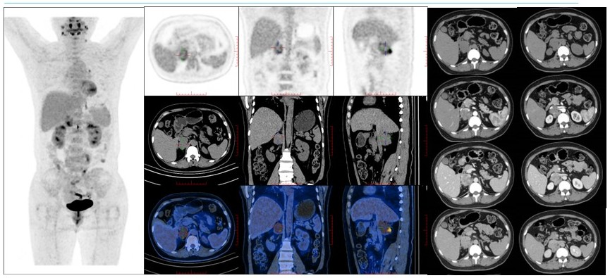
病例(14为一老年女性,体检发现左肾上腺肿物就诊增强CT检查示左侧肾上腺区不规则团片状软组织密度灶,增强扫描呈轻度强化,MRIT1WI低信号、压脂T2WI稍高信号、DWI高信号;18F-FDG PET/CT示肿物代谢轻度不均匀增高;(左肾上腺肿物)切除病理为结外边缘区淋巴瘤
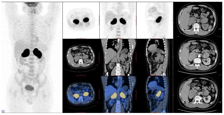
病例(15为一中年男性,高血压病史,检查发现双侧肾上腺肿物;实验室检查示肾素、血管紧张素、醛固酮水平不同程度升高,卡托普利试验阴性,血皮质醇水平8am略升高,尿游离皮质醇明显升高;增强CT见双侧肾上腺分叶状肿块伴明显不均匀强化;18F-FDG PET/CT示双肾上腺占位代谢异常增高,99mTc-曲肽及131I-MIBG显像均为阳性;(双肾上腺肿物)切除病理均为嗜铬细胞瘤。


11. 52岁,体检发现右肾上腺肿物1平滑肌肉瘤
12. 62岁,发现肾上腺肿物3月余神经纤维
13. 45岁,间断心悸2月余,发现肾上腺占位1月余节细胞神经瘤
14. 63岁,检查发现左肾上腺肿物1月余边缘区淋巴瘤
15. 54岁,发现血压升高7年余,检查发现双肾上腺占位嗜铬细胞瘤