-- 阅读

云上中核医生”系列病例讨论(第59期)--北京大学第一医院廖栩鹤医师 (病例 6—10 )

2026年01月26日

北京大学第一医院廖栩鹤医师 (病例 6—10 )

病例(6为一老年男性,因体检发现左侧腹膜后肿物就诊,既往高血压病史;增强CT见左侧腹膜后(左肾后方)占位,占位平扫密度稍低,增强扫描呈轻度不均匀强化;18F-FDG PET/CT示占位代谢不均匀增高;(腹膜后肿物)切除病理为孤立性纤维瘤。

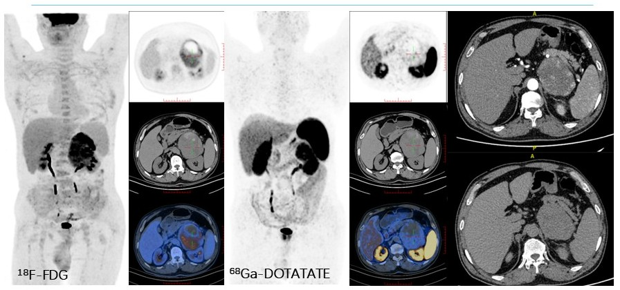
病例(7为一年男性,肾结石检查发现左肾上腺占位,既往高血压病史;实验室检查示脱氢表雄酮水平增高、ACTH水平低;增强CT示左侧肾上腺区肿物伴其内斑片状低密度灶,增强扫描呈明显不均匀强化,病变内见迂曲动脉影;18F-FDG PET/CT示占位内见片状稍高密度灶,代谢不均匀增高68Ga-奥曲肽显像未见明显SSTR高表达;左肾上腺肿物)切除病理为嗜铬细胞瘤
病例(8为一老年女性,间断头晕、心慌检查发现左肾上腺占位,测血压明显升高;实验室检查示ACTH水平稍低、皮质醇水平正常;增强MRI示肾上腺占位呈T1WIT2WI高低混杂信号、DWI轻度高信号,增强扫描示肿物边缘呈不均匀明显强化18F-FDG PET/CT示占位边缘区域代谢轻度增高,68Ga-奥曲肽显像中未见SSTR高表达;(左肾上腺肿物)切除病理为肾上腺皮质腺瘤。
病例(9为一老年女性,体检发现左肾上腺肿物就诊既往高血压病史;实验室检查示醛固酮/肾素比值稍高,血钾稍减低;增强CT肿物呈明显不均匀强化;18F-FDG PET/CT示肿物代谢不均匀明显增高;(左肾上腺肿物)切除病理为肾上腺皮质腺癌

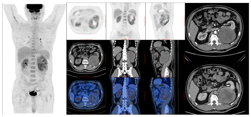
病例(10为一老年男性,检查发现肾上腺占位就诊,既往高血压病史;MRIT1WI稍低信号、T2WI不均匀高信号、DWI高信号,增强扫描呈不均匀强化;18F-FDG PET/CT示肿物代谢轻度增高;(肾上腺肿物)切除病理为肾上腺节细胞神经瘤。


6. 71岁,体检发现左侧腹膜后肿物孤立性纤维瘤
7. 57岁,因肾结石外院行CT发现肾上腺占位2嗜铬细胞瘤
8. 61岁,间断头晕6年,心慌3年,发现左肾上腺占位半月肾上腺皮质腺瘤
9. 71岁,体检发现左侧肾上腺肿物肾上腺皮质腺癌
10. 52岁,外院MR发现右侧肾上腺区占位节细胞神经瘤