-- 阅读

云上中核医生”系列病例讨论(第59期)--北京大学第一医院 吴彩霞医师 (病例 1—5 )

2026年01月26日

北京大学第一医院吴彩霞医师(病例1—5
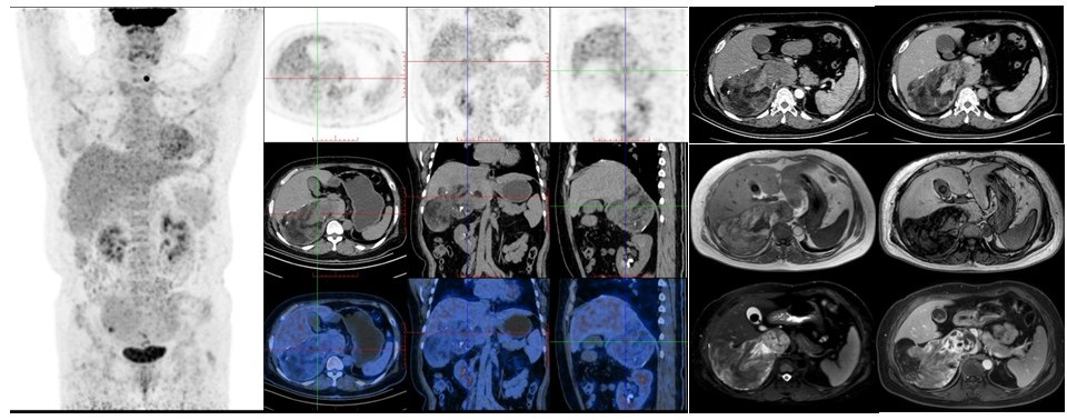
病例(1中年女性,因右肾结石于外院行腹部CT检查发现右肾上腺区肿物;增强MRI提示占T1WI同相位呈稍高/等信号反相位部分区域信号衰减T2WI呈不均匀等/高信号、DWI部分扩散受限,增强扫描病灶可见明显强化18F-FDG PET/CT示占位代谢轻度增高;(右侧肾上腺区占位)穿刺病理为髓样脂肪瘤。

病例(2为一老年男性,因发热伴间断性后背部坠胀、疼痛不适就诊;增强CT腹膜后巨大占位,平扫呈混杂稍低密度,其内部及边缘见点状钙化少许脂肪密度,增强扫描呈不均匀强化;18F-FDG PET/CT示占位代谢轻度不均匀增高;(右侧腹膜后肿物)穿刺病理为脂肪肉瘤
病例(3为一老年女性,右腹部疼痛就诊,CT提示右侧肾上腺囊实性占位MRI示占位T1WI混杂稍低信号、压脂T2WI混杂高信号、DWI高信号改变18F-FDG PET/CT示占位代谢轻度不均匀增高,占位周围稍大淋巴结伴代谢轻度增高肾上腺占位)穿刺病理为肾上腺皮质癌
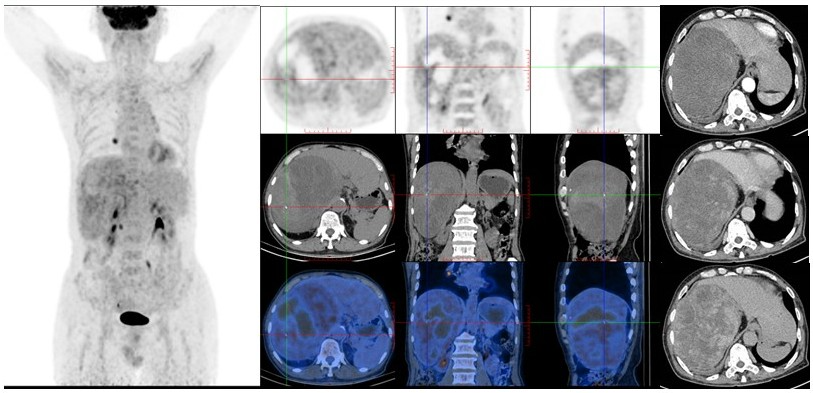
病例(4为一中年女性,因体检发现右肾上腺肿物就诊,实验室检查提示贫血MRI检查示右侧肾上腺区巨大占位伴出血囊变,呈T1WI稍低信号、压脂T2WI稍高信号、DWI不均匀高信号改变18F-FDG PET/CT示占位实性成分代谢不均匀增高,腹膜后淋巴结代谢未见明显增高;(腹膜后肿物)切除病理为神经鞘瘤。

病例(5为一青年女性,间断胸痛检查发现腹膜后肿物,增强CT提示左侧腹膜后巨大占位伴多发点状钙化,增强扫描呈轻度不均匀强化;18F-FDG PET/CT示占位代谢不均匀增高;(腹膜后肿物)切除病理为节细胞神经瘤。

病例1. 女,49岁,因右肾结石于外院行腹部CT检查发现右肾上腺区肿髓样脂肪瘤
病例2. 男,81岁,发热伴间断性后背部坠胀、疼痛不适脂肪肉瘤
病例3. 女,66岁,右腹部疼痛半月余肾上腺皮质癌
4. 女,41岁,体检发现右侧肾上腺区肿物神经鞘瘤
5. 女,18岁,间断胸痛半月,CT发现腹膜后肿物节细胞神经瘤