关注我们
·
登录邮箱
首页
业内动态
学术中心
继续教育
专科培训
继教病例
继教讲座
甲状腺专题
专家科室
青委专栏
青委快讯
核您分享
科普周刊
病例讨论
放免技术
科研合作
核学会核医学分会
其他
首页
/
继续教育
/
继教讲座
--
阅读
分享到
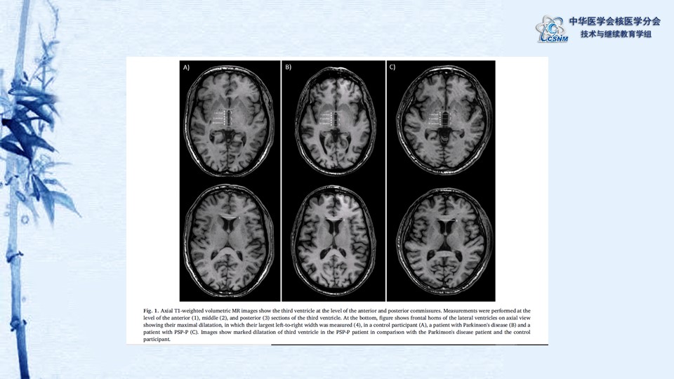
讲座98:神经变性病影像诊断1-陈海波
2021年10月12日
最新更新
2021.10.12
讲座107:以多模态影像发挥呼吸核医学的优势-杨敏福
2021.10.12
讲座106:PET-CT在小儿神经系统疾病中的应用2-王辉
2021.10.12
讲座105:PET-CT在小儿神经系统疾病中的应用1-王辉
2021.10.12
讲座104:18F-FMISO PETCT评估甘氨双唑钠放疗增敏作用的基础研究及临床转化-徐慧琴
2021.10.12
讲座103:68Ga-SSA与18F-FDG PETCT联合显像在神经内分泌肿瘤诊治中的应用价值-左长京
2021.10.12
讲座102:以多模态影像发展核医学优势-徐白萱