关注我们
·
登录邮箱
首页
业内动态
学术中心
继续教育
专科培训
继教病例
继教讲座
甲状腺专题
专家科室
青委专栏
青委快讯
核您分享
科普周刊
病例讨论
放免技术
科研合作
核学会核医学分会
其他
首页
/
继续教育
/
继教病例
--
阅读
分享到
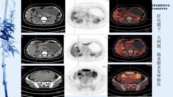
病例45:卵巢结节性甲状腺肿伴乳突状癌-【CSNM继教学组】农天雷 柳州市柳铁中心医院
2019年06月12日
PDF 下载
病例0045(005)【CSNM继教学组】卵巢结节性甲状腺肿伴乳突状癌+农天雷+柳州市柳铁中心医院.pdf
最新更新
2021.10.12
病例97:椎体占位PET显像一例-周晓红
2021.10.12
病例96:全身多发病变PET显像一例-赵赟赟
2021.10.12
病例95:胰腺病变PET显像一例-明韦迪
2021.10.12
病例94:大动脉炎累及冠脉PET显像一例-李薇
2021.10.12
病例94:大动脉炎累及冠脉PET显像一例-李薇
2021.10.12
病例93:盆腔占位PET显像一例-郭娜